省内首例! 一枚“小胶囊”, 解决96岁老人心脏大隐患
发布日期:2025-10-08 08:08 点击次数:70
极目新闻通讯员陈贝陈燕辉
九旬老人反复心悸、头晕,持续一个月后突发晕厥,被送至武汉市第五医院。医生发现,老人有三度房室传导阻滞,心脏随时“罢工”,心血内管内科介入团队为老人植入一枚胶囊大小的无导线起搏器,重启心跳“开关”。目前,老人生命体征平稳、恢复良好。

心血内管内科介入团队为老人进行手术中
9月26日,96岁的周爹爹(化姓)反复出现心悸、头晕不适等症状,后又突发晕厥,被家人紧急送往武汉市第五医院就诊。动态心电图监测显示:三度房室传导阻滞,心率仅为28次/分。这意味着,心脏“中转站”房室结出了问题,心房与心室的电信号完全中断,存在严重心源性猝死风险,需要安装心脏起搏器,维持正常心率。
考虑到老人96岁高龄,并伴有严重认知障碍,无法配合手术及术后康复要求,武汉市第五医院心内科团队决定进行先进的主动型无导线起搏器植入,保证其生理性房室顺序起搏。
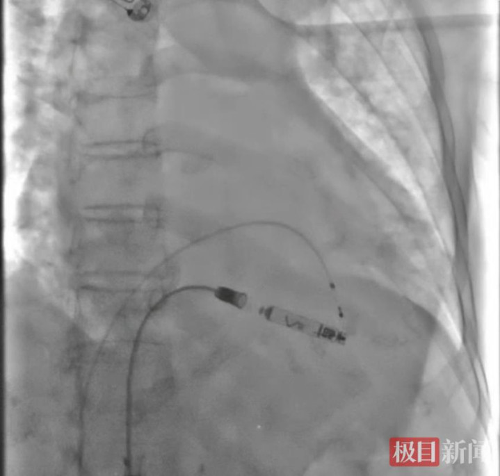
手术中,麻醉医生郭一新、毕光焰为老人实施全麻,心内手术团队通过右侧腹股沟处一厘米粗的穿刺点,将“胶囊”大小的无导线起搏器植入患者心肌处。手术历时40分钟,术后老人生命体征平稳、心脏重归正常跳动。

主动型无导线起搏器测试良好后释放
该院心血管内科副主任医师胡良焱介绍,无导线起搏器仅有胶囊大小,重量约2克,相比于传统起搏器体积减小93%,通过主动固定方式植入心脏,无需电极导线,无囊袋、无切口、无伤疤,术后肩部活动不受影响,避免了囊袋感染和溃烂,电极脱位、穿孔、断裂、静脉血栓闭塞及三尖瓣反流等并发症的可能,机器工作时间可达17-20年,到期后通过微创介入取出更换即可。
据了解,为96岁老人植入无导线起搏器,在省内尚属首例。该技术的成功应用,为患者提供了更微创、更精准的治疗新选择。
(图片由通讯员提供)